Bệnh nhi là bé T.G.K. (7 tháng tuổi, ngụ tỉnh Đồng Tháp). Khai thác bệnh sử, lúc 3 tháng tuổi, người nhà phát hiện đầu bé to dần, hay nôn ói sau bú và mắt nhìn xuống nên đưa đến khám tại Bệnh viện Nhi đồng 1.

Cháu bé điều trị tại Bệnh viện Nhi đồng 1 (Ảnh: BV).
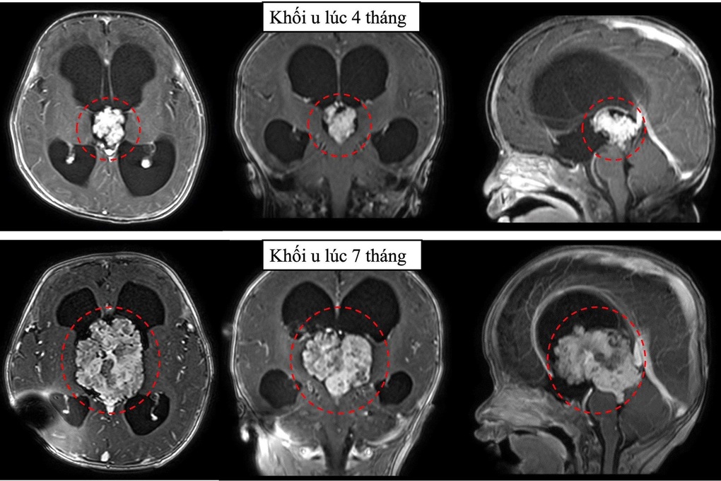
Quá trình thăm khám, bác sĩ ghi nhận bé có tình trạng tăng áp lực nội sọ, ảnh siêu âm cho thấy khối u chèn ép vùng não thất III, gây giãn não thất nặng. Tiếp tục chụp cộng hưởng từ sọ não, bệnh nhi được xác định tình trạng não úng thuỷ tắc nghẽn, với khối u nằm ở vị trí có nhiều cấu trúc thần kinh quan trọng xung quanh.
Kết quả giải phẫu bệnh xác định, bệnh nhi mang u đám rối mạch mạc không điển hình độ 2, một khối u hiếm gặp của hệ thần kinh trung ương.
Do lo lắng việc phẫu thuật lấy u gây nguy cơ cao, gia đình và bác sĩ thống nhất tiến hành đặt dẫn lưu não thất màng bụng để điều trị giảm áp lực nội sọ tạm thời, đợi một khoảng thời gian bé đủ lớn sẽ mổ lấy u.
Nhưng 3 tháng sau, khi chụp phim cộng hưởng từ sọ não, bác sĩ phát hiện khối u tăng kích thước hơn gấp 3 lần. Không thể trì hoãn thêm, ê-kíp điều trị tư vấn gia đình việc phẫu thuật mổ lấy u để cấp cứu cháu bé.

Khối u tăng kích thước gấp 3 lần trong thời gian ngắn (Ảnh: BV).
Với sự chuẩn bị chu đáo và phối hợp nhịp nhàng giữa các chuyên khoa Ngoại thần kinh, Phẫu thuật gây mê hồi sức cùng Hồi sức ngoại, ca mổ đã diễn ra an toàn trong 6 giờ đồng hồ, giúp khối u của bé được bóc tách thành công. Sau thời gian hồi sức và chăm sóc tích cực sau mổ, bé đã hồi phục và được xuất viện.
TS.BS Trần Minh Huy, khoa Ngoại Thần kinh, chia sẻ, đây là ca mổ rất khó khăn, khi khối u kích thước lớn (6cm), tăng sinh mạch máu nuôi và phát triển trong lòng não thất. Ngoài ra, với thời gian cuộc mổ kéo dài, nguy cơ mất máu nhiều trên bệnh nhi 7 tháng tuổi đòi hỏi năng lực chuyên môn và phối hợp liên chuyên khoa chặt chẽ.
"Chúng tôi đã vượt qua những thách thức để thực hiện thành công ca phẫu thuật, đưa bệnh nhi trở về lại với cuộc sống bình thường", bác sĩ Huy nói.
Tái tạo khuyết hổng cho bệnh nhân ung thư vùng má
Các bác sĩ Bệnh viện Nguyễn Trãi (TPHCM) vừa phẫu thuật cắt khối u và tái tạo vùng khuyết hổng cho một phụ nữ mang khối u ác tính vùng má.
Theo bệnh sử, trước 2 tháng nhập viện, bà L. (63 tuổi) đã phát hiện khối cứng ở má trái, tăng dần kích thước theo thời gian và gây đau nhẹ khi ăn nhai. Vì nghĩ là viêm loét thông thường, bà không đi khám sớm, mà chỉ đợi khi tổn thương không cải thiện mới vào Bệnh viện Nguyễn Trãi kiểm tra.
Dựa trên kết quả khám lâm sàng và chẩn đoán hình ảnh, bệnh nhân được xác định ung thư niêm mạc má trái giai đoạn 3. Do khối u xâm lấn sâu, nguy cơ ảnh hưởng chức năng ăn nhai và nuốt sau mổ, bệnh nhân được tư vấn kỹ về phương pháp phẫu thuật và nguy cơ biến chứng.
Song song đó, bà cũng được mở thông dạ dày để nuôi ăn trước mổ, nhằm đảm bảo dinh dưỡng và chuẩn bị thể trạng tốt nhất.
Sau khi cắt rộng khối u và nạo hạch cổ trái, ê-kíp điều trị tiếp tục mổ tái tạo khuyết hổng bằng vạt đảo dưới cằm. Đây là kỹ thuật đòi hỏi các bác sĩ phải kiểm soát toàn diện để đáp ứng an toàn, đồng thời đảm bảo tái tạo mô mềm giúp phục hồi chức năng và thẩm mỹ.
Hậu phẫu, bệnh nhân diễn tiến thuận lợi, vết thương lành tốt và xuất viện sau 5 ngày chăm sóc.

Người phụ nữ hồi phục thuận lợi sau mổ (Ảnh: BV).
Các bác sĩ khuyến cáo, ung thư niêm mạc má thường khởi phát bằng những tổn thương nhỏ, dễ nhầm với loét miệng thông thường. Người dân cần đi khám ngay khi có các dấu hiệu loét miệng kéo dài trên 2 tuần không lành; có khối cứng vùng má, lưỡi hoặc sàn miệng; chảy máu bất thường trong khoang miệng.


























