Ngày 21/4, Bệnh viện Ung Bướu Hà Nội thông tin, các bác sĩ khoa Ngoại Tổng hợp vừa phẫu thuật thành công một trường hợp sarcoma cơ trơn tử cung giai đoạn III với khối u kích thước khổng lồ, hiếm gặp.
Khối u nặng gần 9kg, chiếm gần toàn bộ ổ bụng, gây chèn ép nhiều cơ quan nội tạng và ảnh hưởng nghiêm trọng đến hô hấp cũng như sinh hoạt của người bệnh.
Bệnh nhân là chị P.H.L. (45 tuổi, trú tại Hà Nội), có tiền sử khỏe mạnh, chưa phát hiện bệnh lý bất thường và chưa lập gia đình. Khoảng 6 tháng trước, chị L. xuất hiện những cơn đau âm ỉ vùng bụng, chủ yếu vào ban đêm. Chị cũng bị sút cân, nhưng vì tâm lý chủ quan và e ngại nên không đi khám.
Gần đây, chị L. thấy bụng nhô to, cơn đau xuất hiện nhiều hơn, ăn uống kém và đặc biệt là khó thở tăng dần. Thậm chí, chị L. không thể nằm ngửa, chỉ có thể nằm nghiêng. Lúc này, chị mới đến viện khám, phát hiện có khối u lớn trong ổ bụng.

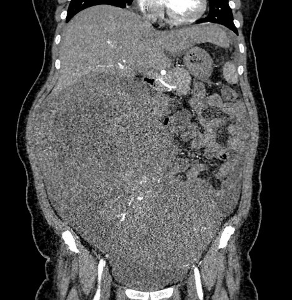
Hình ảnh phim chụp cho thấy khối u chiếm toàn bộ ổ bụng, chèn ép các tạng xung quanh (Ảnh: Bệnh viện cung cấp).
BSCKII Lê Văn Thành, Phó Giám đốc Bệnh viện Ung Bướu Hà Nội, Trưởng khoa Ngoại Tổng hợp cho biết, hình ảnh chụp cắt lớp vi tính cho thấy khối u lan tỏa vùng hạ sườn phải, quanh rốn và hạ vị với kích thước lên tới 22,7x29cm.
Khối u tiếp xúc và chèn ép nhiều cơ quan như gan, túi mật, thận phải, tụy, đồng thời dính với đáy tử cung. Ngoài ra, bệnh nhân còn có tình trạng dịch ổ bụng nhiều và tràn dịch màng phổi hai bên.
Các bác sĩ đã hội chẩn, quyết định thực hiện ca phẫu thuật cấp cứu cho người bệnh.
BS Thành đánh giá, đây là ca mổ phức tạp và khó khăn do khối u quá lớn, liên quan đến nhiều tạng quan trọng. Trong cuộc mổ, cần đảm bảo không làm vỡ u trong quá trình bóc tách, hạn chế tối đa mất máu, đồng thời bảo tồn tối đa các cơ quan nội tạng lân cận.
Trong quá trình phẫu thuật, khối u được xác định xuất phát từ đáy tử cung, kích thước lớn nhất gần 30cm, chiếm gần toàn bộ ổ bụng và dính với đại tràng, mạc treo ruột non cùng nhiều cấu trúc xung quanh.
Ê-kíp phẫu thuật đã thực hiện cắt bỏ trọn khối u, toàn bộ tử cung và hai phần phụ để đảm bảo loại bỏ tối đa tổn thương. Sau ca mổ kéo dài 2 giờ, bệnh nhân được truyền 4 đơn vị máu. Khối u sau khi được lấy ra nặng gần 9kg, kích thước khoảng 30x17cm.
Kết quả giải phẫu bệnh sau mổ xác định chẩn đoán sarcoma cơ trơn tử cung giai đoạn III. Bệnh nhân được tư vấn tiếp tục điều trị hóa chất bổ trợ nhằm giảm nguy cơ tái phát.
BS Thành khuyến cáo, khi có các dấu hiệu bất thường như đau bụng kéo dài, bụng to nhanh, ăn uống kém hoặc khó thở, người dân không nên chủ quan.
Như bệnh nhân này, vì chủ quan suốt thời gian dài khiến khối u phát triển âm thầm và tiến triển đến giai đoạn muộn, tiềm ẩn nhiều biến chứng nguy hiểm, thậm chí đe dọa tính mạng. Việc khám sớm, phát hiện sớm bệnh giúp can thiệp hiệu quả, giảm mức độ xâm lấn phẫu thuật và tăng cơ hội bảo tồn cơ quan.


























